'

Contact mail: pmi@pie.nl

Request a demo

Four Heart Valves

Discover the anatomy and function of the aortic, pulmonary, mitral, and tricuspid valves, common heart valve diseases, and modern repair or replacement options.

Request a demo
Discover the anatomy and function of the aortic, pulmonary, mitral, and tricuspid valves, common heart valve diseases, and modern repair or replacement options.

The human heart is a powerful pump that beats over 100,000 times a day, and its performance depends heavily on the heart’s anatomy.

Understanding the heart anatomy is essential for comprehending how the cardiovascular system in humans functions. The heart has four main valves that regulate blood flow, maintain pressure, and prevent backflow. These delicate structures work continuously—opening and closing millions of times over a lifetime.

Understanding the structure and function of heart valves is key not only for patients and caregivers but also for medical professionals diagnosing and managing valvular heart disease. Whether you're learning about basic heart anatomy or exploring structural heart programs, this guide offers a complete overview of the four heart valves, how they work, and how to manage when they don’t.  

How Do Heart Valves Work?

The structure of blood flow through the heart is carefully coordinated by four valves: the aortic, pulmonary, mitral, and tricuspid valves. Each valve opens fully to allow blood to move forward and closes tightly to prevent any backward leakage (regurgitation). This dynamic function preserves the integrity of the cardiovascular system in humans.

The valves are housed within the anatomy of heart chambers, supported by fibrous tissue and muscular structures. Over time or due to disease, valves can thicken, calcify, become floppy, or fail to seal correctly. When this happens, it leads to valvular heart disease, which can disrupt circulation and lead to heart failure if left untreated.

 

The 4 Heart Valves and Their Functions

Aortic Valve

Often referred to as the heart’s main gateway to the body, the aortic valve is positioned between the left ventricle and the aorta—the largest artery in the body. Its three thin, crescent-shaped cusps open wide with each heartbeat, allowing freshly oxygenated blood to surge from the heart into systemic circulation. Once the blood passes, the valve snaps shut to prevent any backflow into the ventricle.

Over time, especially in ageing adults, the aortic valve can stiffen and narrow—a condition called aortic stenosis. This forces the heart to work harder to pump blood forward, which can lead to fatigue, chest pain, and even heart failure. In more advanced cases, valve replacement may be necessary to restore normal circulation and relieve stress on the heart muscle.

 

Pulmonary Valve

Positioned between the right ventricle and the pulmonary artery, the pulmonary valve manages blood flow from the heart to the lungs, where blood is oxygenated. Like the aortic valve, it has three cusps and functions as a one-way gateway—opening during right ventricular contraction and sealing shut to stop any backward leakage into the heart.

Pulmonary valve disorders are less frequent than those affecting other valves but can occur due to congenital conditions like pulmonary valve stenosis. This narrowing limits blood flow to the lungs and can strain the right side of the heart. In children, it may be diagnosed early through routine screenings, while adults with untreated congenital heart disease may experience fatigue and shortness of breath later in life.

 

Mitral Valve

The mitral valve, also known as the bicuspid valve, controls blood flow between the left atrium and left ventricle. Unlike the semilunar valves, it has just two leaflets and a more complex structure—anchored by chordae tendineae to muscular walls.

The valve ensures that oxygen-rich blood flows efficiently from the lungs into the left ventricle, preparing it to be pumped through the body.

One of the most common problems affecting the mitral valve is mitral regurgitation, where the valve doesn't seal properly, allowing blood to flow backward into the left atrium. This can cause fatigue, shortness of breath, and in severe cases, enlargement of the heart. Another condition, mitral stenosis, is often the result of rheumatic fever and may cause pressure buildup in the lungs and atrium. Treatment ranges from medication and monitoring to surgical or catheter-based repair.

 

Tricuspid Valve

The tricuspid valve lies between the right atrium and right ventricle. It has three leaflets that open to allow deoxygenated blood to pass into the ventricle and close to prevent any return into the atrium. While it operates under lower pressure than the left-sided valves, it is just as essential to maintaining smooth and efficient heart function.

Though historically overlooked in clinical discussions, the tricuspid valve is gaining more attention as tricuspid regurgitation becomes increasingly recognized. This condition—where the valve fails to close properly—can result in fluid buildup, swelling in the legs and abdomen, and liver congestion. It's often linked to left heart valve diseases or long-standing heart rhythm disorders like atrial fibrillation. Depending on severity, treatment options may include medication, repair, or replacement via minimally invasive techniques.

 

From Valve Structure to Disease: What Can Go Wrong?

Heart valves work silently and flawlessly—until they don’t. Valve structure abnormalities, often caused by aging, infections, or congenital defects, can lead to two major dysfunctions:

   •  Stenosis – narrowing of the valve opening, restricting blood flow
   •  Regurgitation – failure of the valve to close fully, causing backflow

Over time, these conditions disrupt the heart’s ability to pump efficiently, leading to symptoms such as fatigue, swelling, and breathlessness. If untreated, valvular heart disease can cause structural remodelling, chamber dilation, and eventually heart failure. This link between valve structure and clinical disease highlights why early diagnosis is crucial.

 

Diagnosing Valve Disease

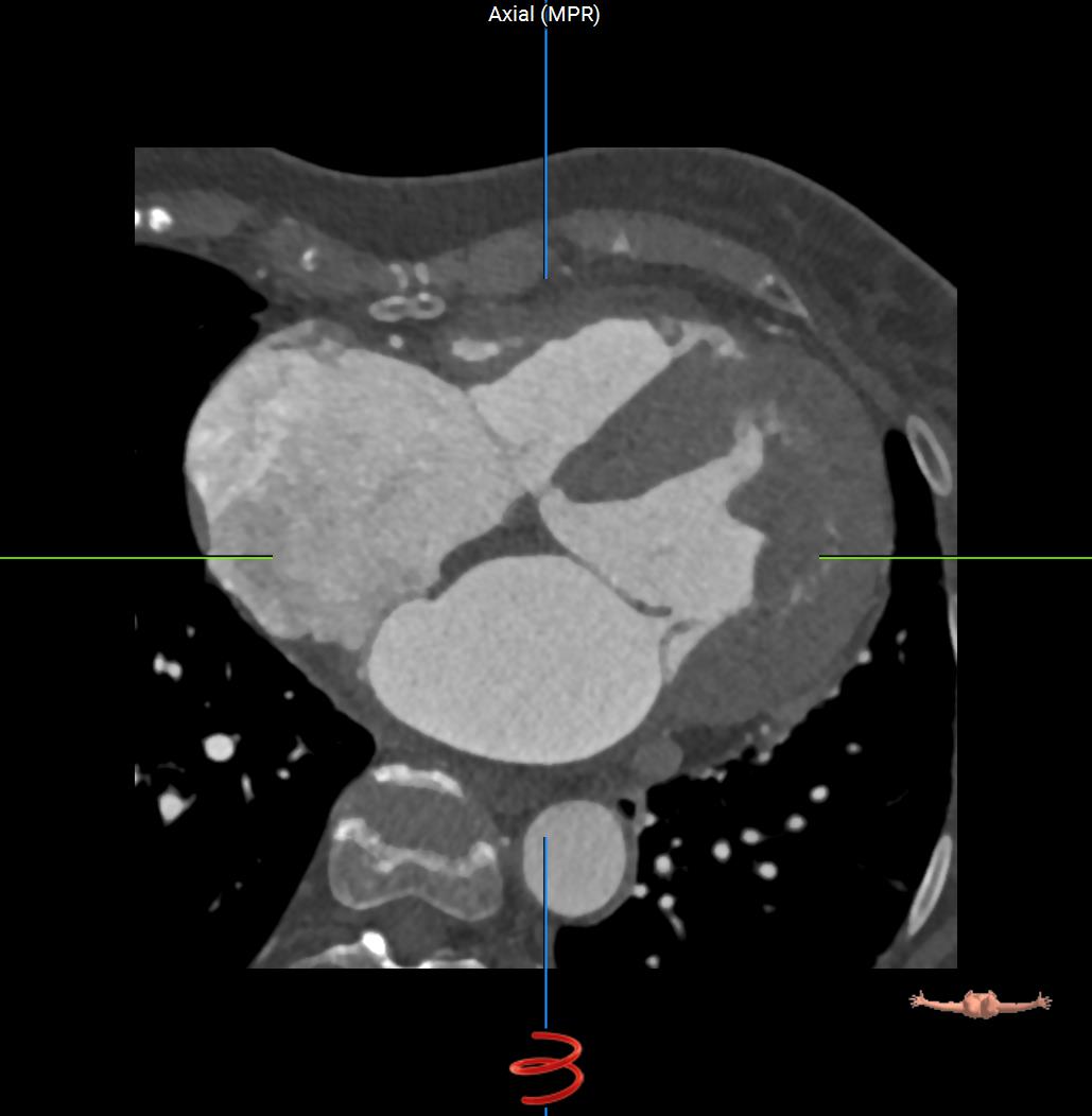
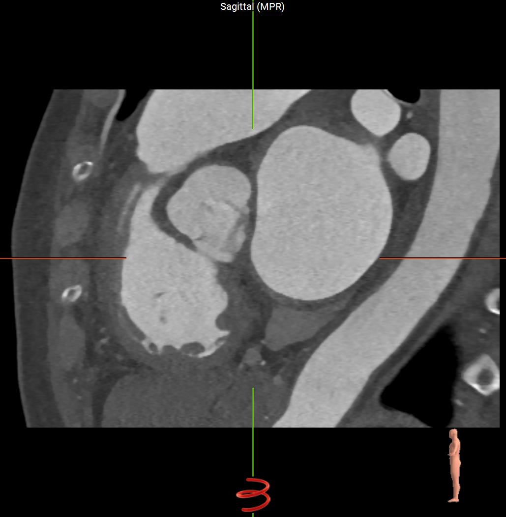
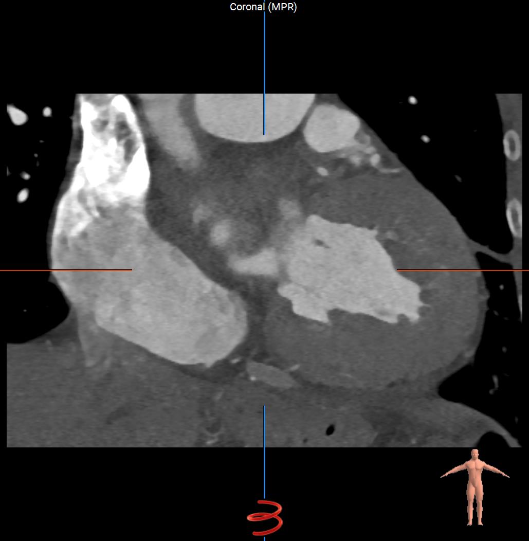
If you experience symptoms such as chest pain, fatigue, shortness of breath, or heart palpitations, your cardiologist may evaluate your heart structure with valves using:

   •  Echocardiography (TTE or TEE)
   •  CT angiography
   • MRI of the cardiovascular system
   • 3D modelling software such as 3mensio Structural Heart, which supports detailed planning for TAVR, mitral and tricuspid procedures

Sagittal-CT-Heart.jpgCoronal-CT-Heart.jpgAxial-CT-Heart.jpg

Valve Repair and Replacement Options

When heart structural abnormalities affect valve function, treatment may include repair or replacement, depending on severity.

Valve Repair

Repair is often preferred when possible—especially for mitral and tricuspid valves. Techniques such as annuloplasty or leaflet reshaping help preserve the native valve. For example, TEER is commonly used for mitral valve repair, while emerging transcatheter devices are available for tricuspid repair. These treatments benefit from pre-op planning using 3mensio Mitral and Tricuspid Workflows, which provide detailed annular geometry and leaflet visualization.

Valve Replacement

For advanced disease—especially involving the aortic valve—replacement is often necessary. TAVR is now the gold standard for high-risk patients, offering faster recovery than open surgery. Similarly, pulmonary valve replacement is increasingly performed using transcatheter techniques, guided by advanced pre-procedural imaging.

 

Where to Get Help: Structural Heart Planning with 3mensio

Navigating valve disease is a complex process that begins with accurate diagnosis and ends with precise treatment. Tools like 3mensio Structural Heart are transforming how cardiologists and interventionalists plan procedures, offering dedicated workflows for:

   • Aortic Workflow – for TAVR sizing and vascular access planning
   • Mitral Workflow – for TEER and mitral valve repair planning
   • Tricuspid Workflow – for visualization and sizing of the right heart valve
   • Pulmonary Workflow– for visualization and sizing of the pulmonary valve
   • LAA Workflow – for left atrial appendage closure

By combining powerful 3D reconstructions with anatomical landmarks, 3mensio enables tailored interventions, reduces complications, and improves procedural outcomes. Whether you're treating mitral regurgitation, aortic stenosis, or tricuspid dysfunction, 3mensio helps ensure precision heart care every step of the way.

 

Final Thoughts: Know Your Valves, Protect Your Heart

Understanding the valve anatomy of heart is the first step in recognizing and treating heart disease early. The aortic, pulmonary, mitral, and tricuspid valves each have distinct roles—and when compromised, they require thoughtful planning, accurate imaging, and expert treatment.

If you or a loved one is facing valve disease, speak with a specialist and ask about advanced diagnostic tools like 3mensio Structural Heart. With the right guidance and imaging support, personalized care is possible—and lives can be changed.