'

Contact mail: pmi@pie.nl

Request a demo

TMVR

Learn about transcatheter mitral valve repair (TMVr) and replacement (TMVR), devices like MitraClip & Tendyne, imaging guidance, procedural workflow, and patient selection.

Request a demo
Learn about transcatheter mitral valve repair (TMVr) and replacement (TMVR), devices like MitraClip & Tendyne, imaging guidance, procedural workflow, and patient selection.

Introduction to TMVr and TMVR


Mitral regurgitation (MR) represents a complex cardiac condition that can severely impact patient outcomes if left untreated. Advances in transcatheter mitral valve repair (TMVr) and replacement (TMVR) techniques have transformed the treatment landscape, offering less invasive solutions for patients who are at high or prohibitive surgical risk. This page provides an overview of current mitral valve repair and replacement options, device technologies, and the essential role of pre-procedural.


Mitral Valve Repair Procedure Options

In trancatheter mitral valve repair the native leaflets are retained. TMVr offers multiple pathways to address MR and restore valve competency:

   1. Leaflet repair: Techniques such as the Alfieri stitch mitral valve technique and MitraClip operation bring mitral leaflets closer together.
   2. Chordal repair: Neochord procedure and Harpoon mitral valve systems allow for minimally invasive chordal restoration.
   3. Annular reshaping: Cardioband and other annuloplasty devices reshape the annulus to improve leaflet coaptation.

These repair strategies are increasingly replacing traditional surgery due to their ability to repair the mitral valve without surgery in select patients.

 

1. Leaflet repair: Transcatheter Edge-to-Edge Repair (TEER)

TEER, for example the MitraClip procedure, is a catheter-based technique used for moderate to severe MR in patients unsuitable for open-heart surgery. It approximates the mitral leaflets with a clip to reduce regurgitation gap. This technique can be guided by advanced imaging such as TEE MV repair, fluoroscopy, and CT.

Popular TEER Devices Include:

  • MitraClip (Abbott): The gold standard with multiple generations (NT, XT, G4).
  • PASCAL (Edwards Lifesciences): Offers independent leaflet capture and broader tissue grasping, ideal for complex anatomies.
  • MyClip (Meril): A newer entrant designed for transcatheter edge-to-edge repair, emphazising simplified delivery, reduced procedural time, and adaptability to varied mitral anatomies.

 Key Benefits of TEER Include:

  • Non-invasive mitral valve repair option
  • Shorter recovery times
  • Effective in both primary and secondary MR

2. Chordal repair: 

Chordal repair targets damaged or elongated chordae tendineae that impair leaflet motion and contribute to MR. Transcatheter chordal repair systems allow for minimally invasive restoration of native chordae, improving leaflet coaptation without open-heart surgery.

Popular Chordal Repair devices include: 

  • Neochord: Provides off-pump, transapical access to implant artificial chordae, restoring leaflet function in degenerative MR.
  • Harpoon: Enables precise, beating-heart chordal implantation via a minimally invasive transapical approach, reducing procedural risk and recovery time.

Key Benefits of Chordal repair Include: 

  • Preservation of native mitral valve anatomy
  • Minimally invasive, beating-heart procedure
  • Targeted correction of leaflet prolapse or flail segments

3. Annular Repair in Mitral Regurgitation

Annular dilation is a common contributor to secondary MR, where the mitral leaflets fail to coapt properly. Transcatheter annuloplasty devices reshape the mitral annulus, restoring proper leaflet alignment. Annular repair can be used alone or in combination with leaflet or chordal repair techniques to optimize MR reduction.

Popular annular repair devices include:

  • Cardioband (Edwards Lifesciences): Direct annuloplasty system that cinches the mitral annulus to reduce annular dimensions and improve leaflet coaptation.
  • Millipede IRIS (Millipede Inc.): Adjustable complete ring for transcatheter mitral annuloplasty, suitable for both primary and secondary MR.
  • Carillon Mitral Contour System (Cardiac Dimensions): Indirect annuloplasty device deployed in the coronary sinus to reduce annular dilation and improve mitral leaflet coaptation.

Key benefits of annular repair include:

  • Restoration of physiological mitral annulus shape
  • Potential combination with TEER or chordal repair for optimized results
  • Minimally invasive, reducing the need for open-heart surgery

coronary_sinus.png


Pre-Procedural Imaging for repair & 3mensio

Detailed imaging and planning are crucial before performing any mitral valve procedure. Advanced software such as 3mensio supports:

  • 3D valve modelling
  • Precise annular and leaflet measurements
  • Virtual device simulation
  • CT fusion imaging

Such planning enhances the precision of TEER and TMVr procedures and minimizes complications.

 

Mitral Valve Replacement (MVR) and TMVR

When repair is not feasible, transcatheter mitral valve replacement (TMVR) becomes necessary. Devices like the Tendyne valve (Abbott) offer a fully implantable replacement system. TMVR is suitable for patients with severe MR, mitral annular calcification (MAC), and those who fail previous repair attempts.

Conditions Often Leading to TMVR Include:

  • Advanced mitral valve regurgitation
  • Severe mitral stenosis
  • Extensive MAC

TMVR is more complex than TEER but provides a definitive solution when native leaflet function cannot be restored.

 

What is TMVR and how is it performed? 

Transcatheter mitral valve replacement (TMVR) is a minimally invasive, catheter-based procedure that implants a bioprosthetic mitral valve to replace a diseased native valve. Unlike traditional open-heart mitral valve replacement (MVR), TMVR reduces surgical trauma and shortens recovery time. The procedure can be performed via two primary access routes. The transapical approach involves a small incision through the chest wall and left ventricular apex, providing precise device control but requiring general anesthesia. The transseptal approach is less invasive, using the femoral vein to cross the interatrial septum, and is often preferred for newer devices due to faster recovery. Selection of the access route depends on patient anatomy, valve pathology, device compatibility, and operator expertise, ensuring a safe and effective TMVR procedure.

Transapical-approach.jpg

Transseptal-approach.jpg

 

TMVR Procedure Workflow

The TMVR procedure begins with a thorough multidisciplinary evaluation in which the heart team assesses the patient’s clinical status, anatomical suitability, and imaging results to determine procedural feasibility. Once the patient is deemed a candidate, catheter-based access is obtained either through a transapical or transseptal route, depending on the selected device and individual anatomy. The valve is then carefully deployed under real-time guidance using transesophageal echocardiography (TEE) and fluoroscopy to ensure precise positioning. Following deployment, the team performs an immediate assessment to evaluate for potential complications such as paravalvular leaks, left ventricular outflow tract (LVOT) obstruction, or device malposition, allowing for prompt correction if necessary.

 

TMVR Benefits and Limitations

TMVR offers several advantages over conventional mitral valve surgery. It provides a less invasive alternative that can completely resolve mitral regurgitation even in anatomically complex patients. The approach typically results in shorter hospital stays, quicker recovery, and a significant improvement in quality of life.

However, the procedure also presents certain limitations. TMVR requires highly skilled operators with advanced imaging and interventional expertise, and some devices remain under limited clinical approval or are still in development. Additionally, procedural risks such as LVOT obstruction, paravalvular leak, or device embolization can occur, and most patients require ongoing anticoagulation therapy following implantation.

 

When Is TMVR Considered Over MVR Surgery?

TMVR is often the preferred choice in situations where conventional MVR replacement or mitral valve repair is not feasible:

  • Failed TEER or Recurrent MR: If Transcatheter Edge-to-Edge Repair (TEER) fails, TMVR can replace the entire valve.
  • Complex Valve Anatomy: TMVR is favored for conditions like calcification, leaflet prolapse, or severe restriction.
  • Severe Mitral Annular Calcification (MAC): TMVR valves can anchor securely even in heavily calcified tissue.
  • Mixed Mitral Valve Disease: In cases involving both stenosis and regurgitation, TMVR offers full valve restoration.
  • Enlarged Mitral Annulus: When the mitral ring is too wide for clipping procedures, TMVR provides a predictable outcome.
  • High Surgical Risk or Inoperability: Patients unfit for open-heart MVR surgery due to age or comorbidities are ideal candidates for TMVR.

 

TMVR in Complex Anatomical Scenarios

TMVR has shown significant promise in patients with challenging anatomies:

  • MAC (Mitral Annular Calcification): The calcified ring provides a stable docking site.
  • Valve-in-Valve (ViV): For patients with failing bioprosthetic mitral valves, TMVR allows insertion of a new valve without removing the old one.
  • Valve-in-Ring (ViRing): TMVR is used to place a new valve inside a previously implanted annuloplasty ring.

These options allow TMVR to replace failing devices without undergoing repeat MVR heart surgery.

MAC.png

TMVR Devices and Valve Systems

Several innovative MVR replacement devices are now available or in development:

  • Tendyne™ (Abbott) – Transapical delivery; repositionable and tethered.
  • Intrepid™ (Medtronic) – Dual stent design, suitable for both transapical and transseptal routes.
  • Sapien M3™ (Edwards Lifesciences) – Transseptal approach using a docking system with a balloon-expandable valve.
  • AltaValve™ (4C Medical) – Supra-annular design, minimizes contact with native valve and avoids LVOT obstruction.

In addition to TMVR-specific systems, surgical mitral valves like the Epic™ Mitral Valve (Abbott) and On-X Mitral Valve (Artivion) are critical in conventional MVR surgery and serve as viable targets in Valve-in-Valve TMVR cases.

 

Role of Imaging in TMVR Planning

Advanced imaging is essential to assess anatomy and ensure a safe TMVR procedure:

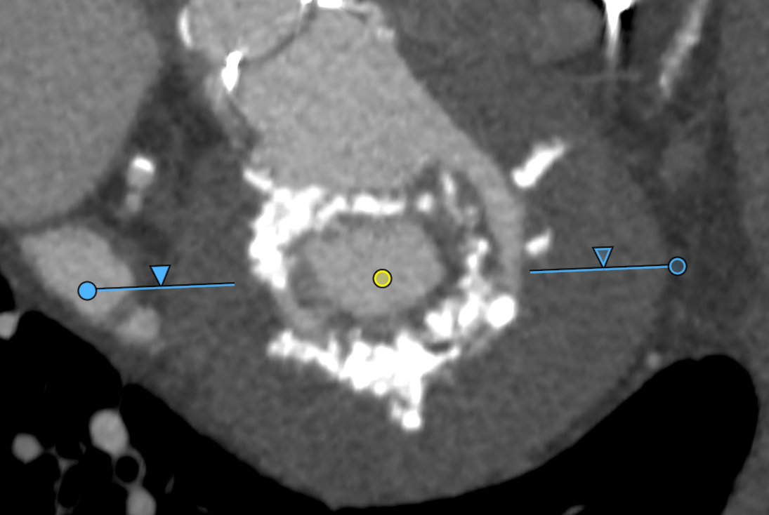
  1. Cardiac CT plays a central role by providing detailed measurements of the mitral annulus, assessing the predicted neo-LVOT area to avoid left ventricular outflow tract obstruction, and identifying calcium distribution across the annulus and leaflets.
  2. 3D TEE (Transesophageal Echocardiography) offers real-time intraoperative visualization, enabling precise monitoring of device positioning and leaflet interaction during the procedure.
  3. Fusion Imaging, which combines fluoroscopy with CT data, enhances procedural navigation and spatial orientation, supporting accurate valve deployment even in anatomically complex cases.

Planning software like 3mensio Structural Heart can can streamline TMVR planning by providing accurate annular sizing, neo-LVOT area prediction, assessment of annular and sub-annular calcification, and simulation of both transapical and transseptal access paths. This comprehensive imaging and planning workflow enables device selection, positioning, and risk management, particularly in anatomically challenging cases.

neo-lvot mitral.png

TMVR vs. TMVr: Making the Right Choice

While TEER is an effective repair method for many, TMVR is preferred when:

  • The valve anatomy is not ideal for clipping
  • There’s severe calcification or annular dilation
  • Previous TEER has failed
  • Complete MVR replacement is required
  • Choosing between TMVR and TEER depends on imaging findings, patient comorbidities, and clinical judgment.

 

Health Risks and Post-Procedural Care

As with any mitral valve repair procedure, there are associated risks:

  • Residual MR or recurrence
  • Mitral stenosis
  • Access site complications
  • Stroke or TIA
  • Endocarditis (e.g., mitral endokarditis)

Patients should closely follow post mitral valve procedure care guidelines and monitor for signs of complications. Imaging follow-up and routine assessments ensure long-term durability of the repair.