'

Contact mail: pmi@pie.nl

Request a demo

3mensio Tricuspid Valve Users

What our customers say about 3mensio Structural Heart Tricuspid Valve

Request a demo
What our customers say about 3mensio Structural Heart Tricuspid Valve

What Customers Say About 3mensio Tricuspid Valve

João L. Cavalcante, MD, (Minneapolis Heart Institute at Abbott Northwestern Hospital, Minneapolis, USA)

   

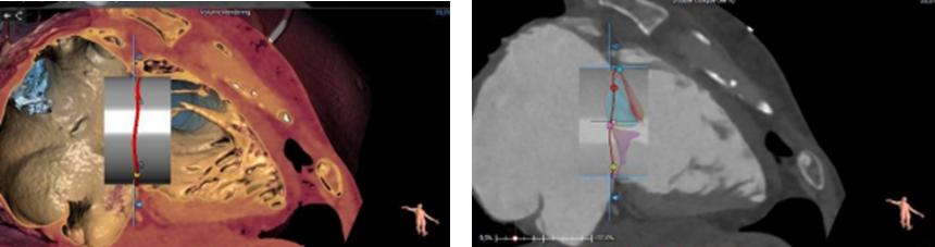
"Cardiac CT continues to play a growing role for planning of either transcatheter tricuspid repair and/or replacement."

"3mensio dedicated workflow allows for detailed anatomical and functional evaluation. The visualization of tricuspid valve leaflets, gaps, anatomical regurgitant orifice area, commissures allow for assessment of potential edge-to-edge therapy. The quantification of leaflet tenting, annular and chamber remodeling, IVC/Tricuspid annulus offset in addition to fluoroscopic angles, allows for planning of tricuspid valve replacement

It is exciting to see also the new developments with semi-automated functional CT analysis which will leverage the capabilities for quantification of right-heart function and remodeling"